SmileArt
Accueil
Le Centre
Notre charte qualité
Les Traitements
Orthodontie Adultes
Orthodontie Adolescents
Orthodontie Enfants
Orthodontie Auto-Ligaturante
Orthodontie Invisible
Nos Conseils
Contact
Prendre RDV
Le jeudi 18 septembre le centre sera exceptionnellement fermé
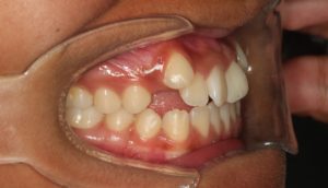
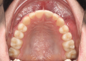
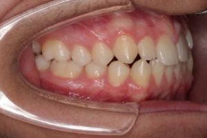
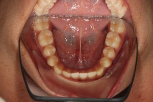
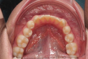
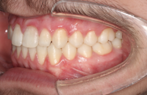
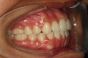
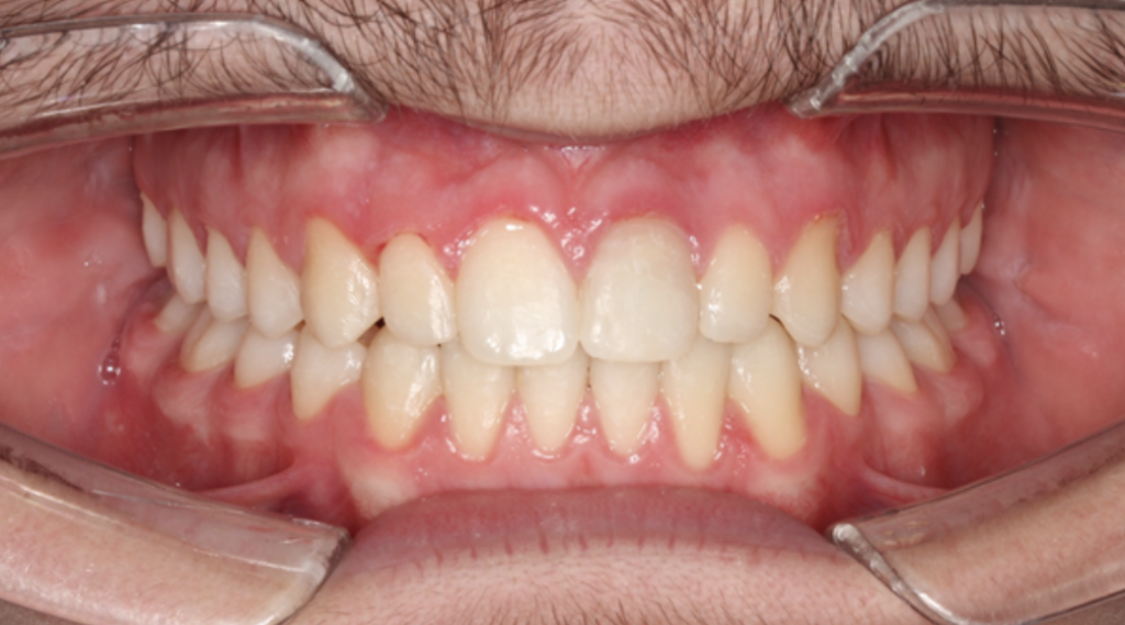
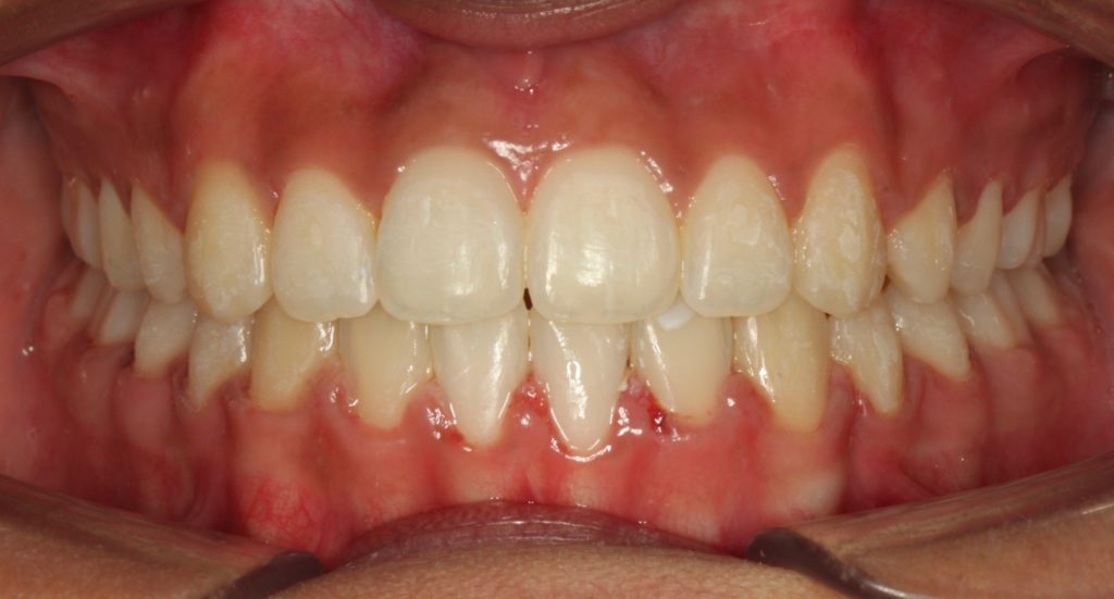
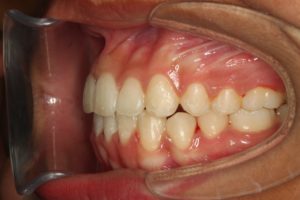
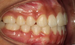
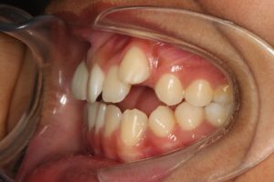
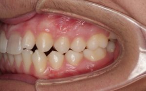
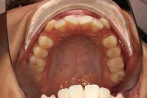
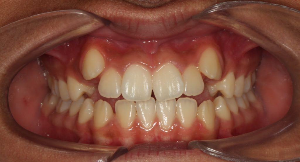
Cas avant / après
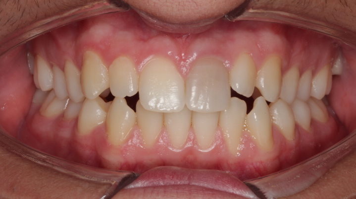
Voici quelques exemples de cas pratiques traités au Centre SmileArt.
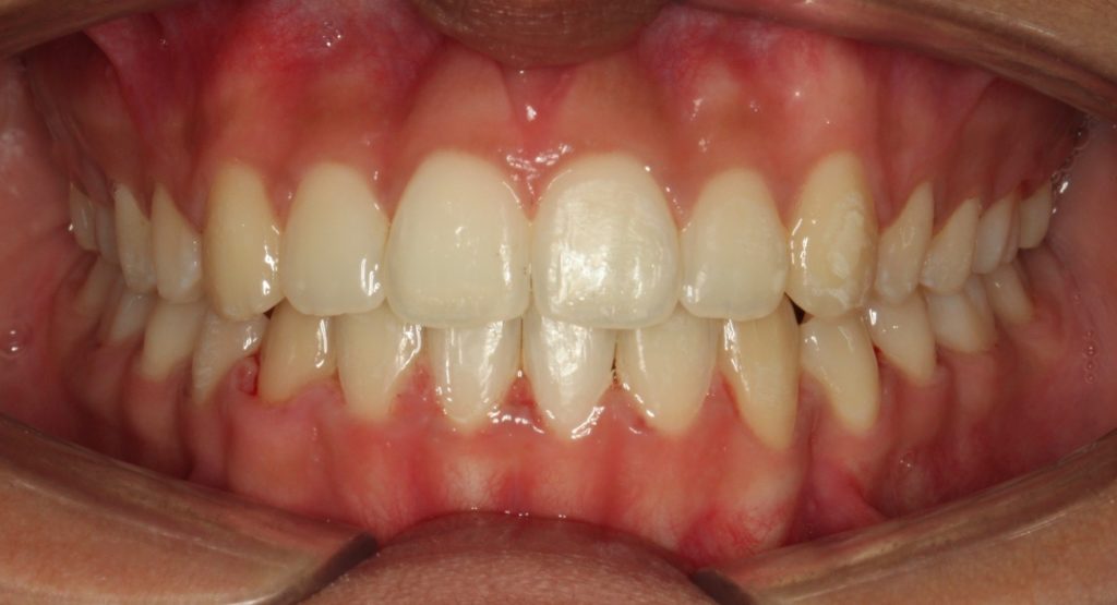
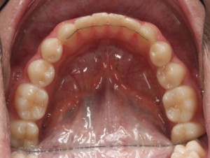
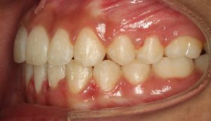
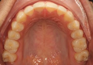
CAS 1 – Traitement multi-attaches • Durée : 15 mois / 11 rendez-vous
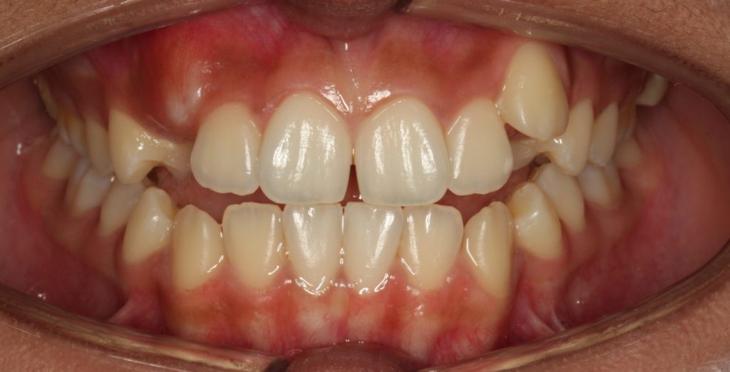
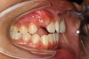
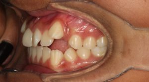
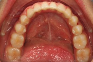
CAS 2 – Jumelle 1 – Traitement multi-attaches • Durée : 15 mois / 11 rendez-vous
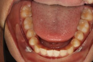
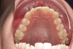
CAS 3 – Jumelle 2 – Traitement multi-attaches • Durée : 15 mois / 11 rendez-vous
Menu